
Rôle des vaisseaux dans les maladies du foie
Équipe Rautou
Axes scientifiques : Physiopathologie des maladies inflammatoires & fibreusesComposition de l'équipe
Chef(fe) de projet
Chercheurs ou Enseignant-Chercheurs statutaires
Emérite
Lab manager
Notre équipe travaille sur le rôle des vaisseaux sanguins dans les maladies du foie. Nous nous intéressons aux maladies vasculaires rares du foie (syndrome de Budd-Chiari, thrombose de la veine porte extra-hépatique et trouble vasculaire porto-sinusoidal), à la stéatohépatite associée à un dysfonctionnement métabolique et à la cirrhose.
Orientations actuelles de la recherche :
- Les cellules endothéliales sinusoïdales du foie dans l’évolution des maladies du foie
- Les vésicules extracellulaires dans les maladies du foie
- La maladie vasculaire porto-sinusoidale
Les cellules endothéliales sinusoïdales du foie dans l’évolution des maladies du foie.
Les cellules endothéliales sinusoïdales du foie dans l’évolution des maladies du foie Des avancées récentes indiquent que les tissus adipeux intestinaux et viscéraux jouent un rôle clé dans les maladies du foie. Cela suggère que des substances sont libérées par ces tissus, influençant la fonction hépatique. Les cellules endothéliales du foie sont parmi les premières cellules à entrer en contact avec le sang provenant des tissus adipeux intestinaux et viscéraux. Elles constituent une interface active entre le sang et les autres cellules hépatiques. Cependant, le rôle des cellules endothéliales du foie dans les maladies du foie est paradoxalement très mal compris.
Nous avons récemment démontré que l’autophagie est défectueuse dans les cellules endothéliales du foie des patients atteints de stéato-hépatite associée à un dysfonctionnement métabolique (MASH) et que ce défaut est induit par des médiateurs inflammatoires présents dans le sang portal des patients atteints du syndrome métabolique. Nous avons également montré que la déficience de l’autophagie induit des altérations des cellules endothéliales du foie responsables de l’inflammation hépatique, de la mort des cellules hépatiques et de la fibrose hépatique, favorisant ainsi le développement de la NASH. (Hammoutene A. J Hepatol. 2019).
![]() |
![]() |
Gauche : Les cellules endothéliales sinusoïdales hépatiques murines primaires captent efficacement l’acLDL.
Droite : Cellules endothéliales sinusoïdales hépatiques dans une section de foie de souris (en vert).
Les vésicules extracellulaires dans les maladies du foie
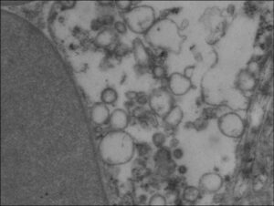
Les vésicules extracellulaires sont des vésicules à membrane libérées par les cellules dans l’espace extracellulaire. Elles comprennent des corps apoptotiques, des microvésicules et des exosomes, désignés maintenant sous les noms de grandes et petites vésicules. Les vésicules extracellulaires sont capables de transmettre des informations d’une cellule à une autre. Nous sommes actuellement en train de déterminer le rôle des vésicules extracellulaires dans la progression et les complications des maladies du foie. Pour ce faire, nous analysons leur rôle dans la communication intercellulaire entre le foie et d’autres organes, ainsi qu’au sein même du foie.
Nous avons récemment démontré que les microvésicules provenant des globules rouges portant la mutation JAK2V671F transfèrent une protéine (myéloperoxydase) aux cellules endothéliales, augmentant ainsi la réponse artérielle. Ces données peuvent expliquer l’augmentation des événements cardiovasculaires chez les patients atteints de néoplasmes myéloprolifératifs JAK2V617F.(Poisson J. J Clin Invest. 2020).

Electronic microscopy view from extracellular vesicles in liver vessels
Les vésicules extracellulaires peuvent également être utilisées comme biomarqueurs. Nous avons démontré que les microvésicules hépatocytaires peuvent prédire l’évolution des patients atteints de cirrhose. (Bissonnette J. Hepatology. 2017 & Payancé A. Hepatology 2018 & Thietart S. Journal of hepatology. 2020).
En 2023, nous avons démontré que les vésicules extracellulaires dérivées des hépatocytes sont également capables de prédire des événements liés au foie sur une période de 2 ans chez les patients atteints de cirrhose due à l’alcool de classe A selon la classification de Child-Pugh. (Elkrief L. J Hepatol 2023)

En utilisant la protéomique sur les vésicules extracellulaires, nous avons identifié plusieurs nouveaux biomarqueurs qui peuvent être utilisés pour définir des sous-populations de vésicules extracellulaires pouvant améliorer le diagnostic des maladies du foie. Nous sommes actuellement en train de valider ces résultats dans de vastes cohortes de patients, notamment la cohorte DECISION, PROMICE et RHU QUID NASH.
Maladie vasculaire porto-sinusoïdale
Auparavant appelée hypertension portale non cirrhotique ou hyperplasie nodulaire régénérative, cette maladie rare se caractérise par des altérations des veines portales et/ou des sinusoïdes conduisant, chez certains patients, à une hypertension portale et à ses complications. Nous étudions la physiopathologie de cette maladie ainsi que le devenir des patients atteints de cette affection. Le Pr. Pierre-Emmanuel Rautou est le responsable de l’unité de recherche dédiée à cette étude : l’unité de Catheterisme hepatique in Beaujon Hospital.
Podcast of Prof PE Rautou on porto-sinusoidal vascular disease: link



